Accessible Version
Scott M. Hannaman, DDS
A Great Dentist

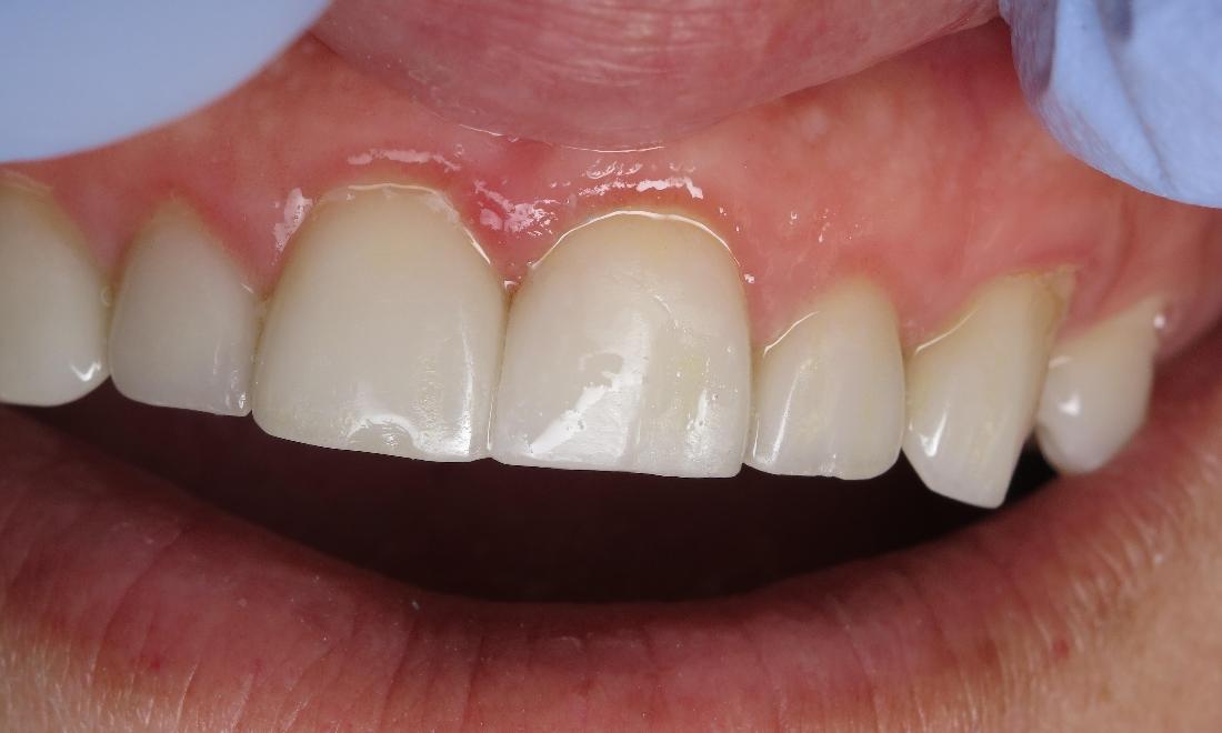
Broken Veneer Bonding

We hate to see a dental emergency, but when your front tooth breaks, we make sure you have a solution on the same day. This young man fractured his front veneer and we hand sculpted some bonding to get him smiling that day.

Related Services:

Veneers
Improve your smile today – call to schedule a consultation!
If you have difficulty using our website, please email us or call us at (337) 474-4892