Accessible Version
Scott M. Hannaman, DDS
A Great Dentist

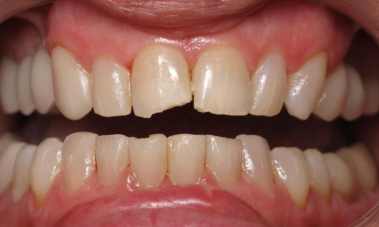
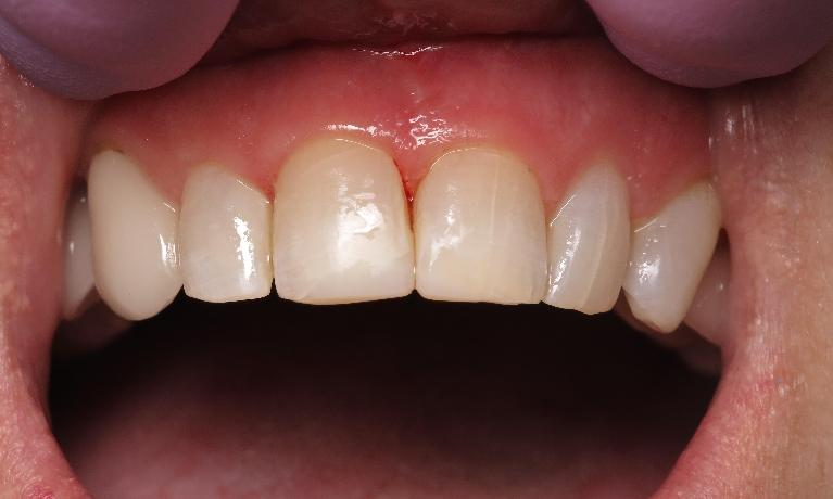
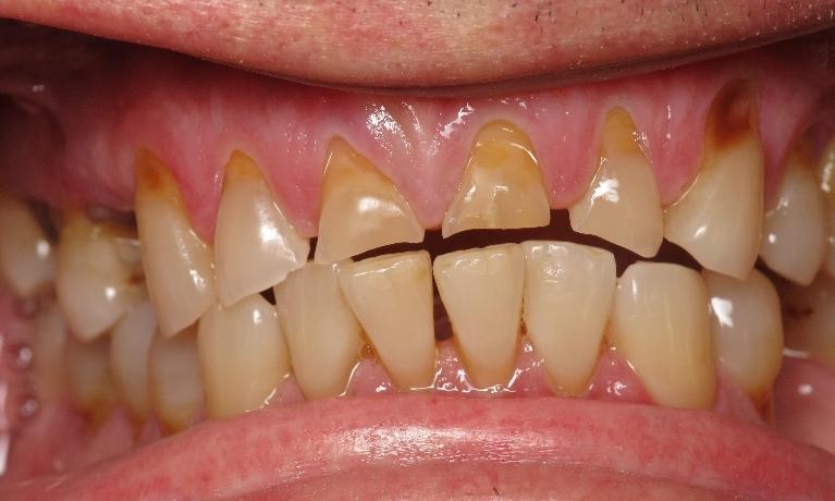
Smile Gallery: Cosmetic Dentistry

Not everyone is born with a beautiful brilliant smile. Today’s cosmetic dentistry means you don’t have to live with a smile you don’t want to show the world. Our dentists use the artistry of cosmetic dentistry to turn dull smiles into dazzling ones. See for yourself and take a look at the pictures in our smile gallery. 

Not finding what you need?
If you have difficulty using our website, please email us or call us at (337) 474-4892
View the ADA Accessibility Statement