Accessible Version
Scott M. Hannaman, DDS
A Great Dentist

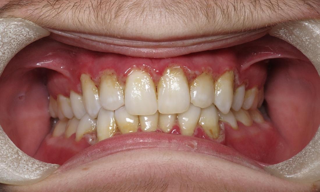
Gingivitis

There are many reasons why your gums may swell. We strive to educate our patients to properly clean with an adequate toothbrush, toothpaste, and flossing routine. Swelling and bleeding are the first steps that leads to bone loss, periodontal disease, and loose teeth. With proper management, we can treat gingivitis at our Lake Charles dentist office. 

 

Improve your smile today – call to schedule a consultation!
If you have difficulty using our website, please email us or call us at (337) 474-4892